Oral View 3d

Resultados

Nuestro compromiso es ofrecerte la mejor experiencia.

Tus aliados en radiología oral

Innovación tecnológica

Contamos con lo último en tecnología digital

Cerca de ti

Nuestra sede estratégicamente ubicada

Personal capacitado

Nuestros profesionales cuentan con formación humana y técnica

Oral View 3D

Servicio con alta tecnología y vanguardia

Nuestro compromiso contante con los Drs. remitidores y los pacientes es poder ofrecerles la mejor atención, con personal capacitado y la mejor tecnología para lograr ayudas diagnósticas de la mejor calidad.

Drs. remitidores
+ 0

Consulta tus estudios

Disponible 24/7

Ingreso Profesionales

Ingreso Pacientes

Oral View 3D

Nuestro servicio.

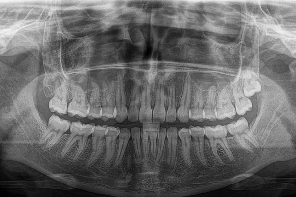
Contamos con un portafolio integral de servicios en Ayudas Diagnósticas odontológicas, algunos de estos como Radiografías intra y extra orales, siendo la tomografía volumétrica cone beam protagonista no solo por la información que brinda si no además por las bajas dosis de radiación que utiliza comparadas con un tomógrafo axial computarizado.

Nuestros Estudios

Radiografías Intraorales

- Juego periapical completo
- Periapical parcial
- Periapical parcial milimetrada
- Juego periapical milimetrada
- Coronal Parcial
- Coronal Completo

Radiografías Extraorales

- Rx Panorámica estándar
- Rx Perfil
- Rx PA-AP
- Rx Carpograma
- Rx ATM

Paquetes de Ortodoncia

- Paquete Mínimo de ortodoncia
- Paquete Basico de ortodoncia
- Paquete Completo de ortodoncia
- Paquete Plus de ortodoncia
- Paquete Final de ortodoncia
- Paquete Periodoncia
- Paquete Maxilofacial
- Paquete para Alineadores
- Paquete Estetico

Tomografías 3D HD

- Zona 3 dientes
- Cuadrante
- Maxilar Superior
- Maxilar Inferior
- Bimaxilar
- ATM
- Cara Completa

Escaner Dental

- Modelo digital tridimensional (3D) de la boca del paciente utilizando tecnología de vanguardia

Descarga nuestra orden de servicio

Nosotros

Quienes somos?

Oralview 3d se caracteriza por realizar diagnósticos precisos y oportunos, enfocado al bienestar de nuestros usuarios ofreciendo confianza y una excelente atención, con personal capacitado y calidez humana, dedicado a la interpretación de imágenes radiográficas dentales, siendo un aliado confiable de los odontólogos para que puedan planificar tratamientos efectivos y mejorar la salud bucal de los pacientes.

Darnos a conocer como el aliado confiable de odontólogos y pacientes a nivel nacional, logrando así una cobertura más amplia de nuestro servicio y llegando a mas lugares de nuestro país.

Contáctanos

Te podemos ayudar?

Horario
Lunes - Viernes

(08.00 AM - 06.00 PM)

Sábado

(08.00 AM - 02.00 PM)

318 031 8880

Whatsapp

oralview3d@gmail.com

Correo

Scroll to Top